口元のお悩みから解放された快適な生活
妙典歯科Nクリニック
マウスピースで行う矯正から虫歯・歯周病の治療や親知らずの抜歯、インプランドにいたるまで多岐にわたるご要望にお応えしております。通いやすさを重視して妙典駅からすぐの好立地に歯医者を構えました。お口の機能を向上させるだけではなく、見た目の美しさにもこだわり、気兼ねなく歯を見せて笑顔を作っていただけるように全力でサポートいたします。治療を通してご自身の口元を好きになってほしいという想いがあるため、ちょっとしたご不安にも寄り添うと共に、できる限りご要望にお応えできるように努めてまいります。
当医院にまつわる詳細情報等を掲載
診療科目
お子様から大人の方まで安心して通っていただけるようにキッズスペースを設けているほか、
様々なお悩みやご希望にお応えするために幅広い診療内容を展開しております。
私たちは「笑顔に自信を」をモットーに、
皆さまに健康的な歯とすてきな笑顔をご提供し、
人との出会いやコミュニケーション活動が
楽しくなるような生活を支援いたします。
院長:中村直登
わたくしたちが携わっております口腔は、人の印象を決める表情「笑顔」やコミュニケーションに欠かせないものです。また、食事を摂るなど全ての源だと考えております。
人の印象を左右するポイントとして、見た目が半数以上を占めており、実際わたくしも自分の歯列不正や他人の歯列に自然と目が行き、口腔環境・表情さらにはコンプレックスを改善しようと歯科医師を目指しました。
「家族に紹介したい歯医者さん」「この歯医者さんに行くことは私の自慢」
当院では、歯の痛みに対する根拠に基づいた医療(EBM)はもちろん、歯科医療をもとに患者様の口元をきれいにし、自信をもって歯を出して笑え、健康的な食生活を送れるように患者様1人ひとりのご希望に沿った医療(NBM)をご提供いたします。
市川市妙典・行徳の方にはもちろんのこと、他の地域にお住いの方も、お口のことでお困りのことがありましたらお気軽にお問い合わせください。
妙典歯科Nクリニックが選ばれる4つの理由
コンセプト
お役立ち情報からキャンペーンまで配信
ブログ
口元に自信を持てるようにするお手伝いをしており、治療に関する理解を深めるのにお役立ていただける情報やお得なキャンペーン、
治療例など様々な情報を発信していきます。
歯科業界に関連したコラム記事を掲載
豆知識
ご希望に沿った治療を通して患者様を笑顔にすることを目指しております。
気軽に読みやすいようにわかりやすくまとめた歯科業界に関わる情報を中心に掲載いたします。
料金表
それぞれの診療内容に関する料金
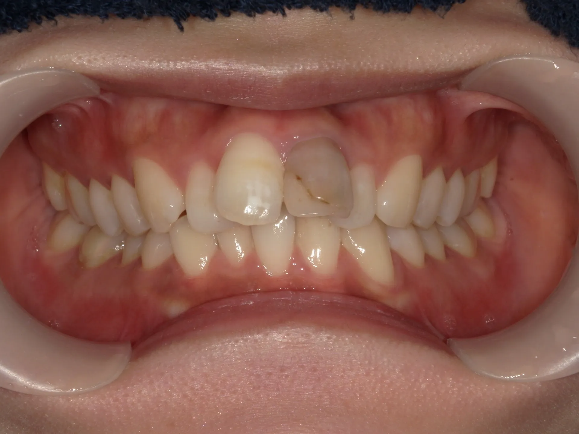
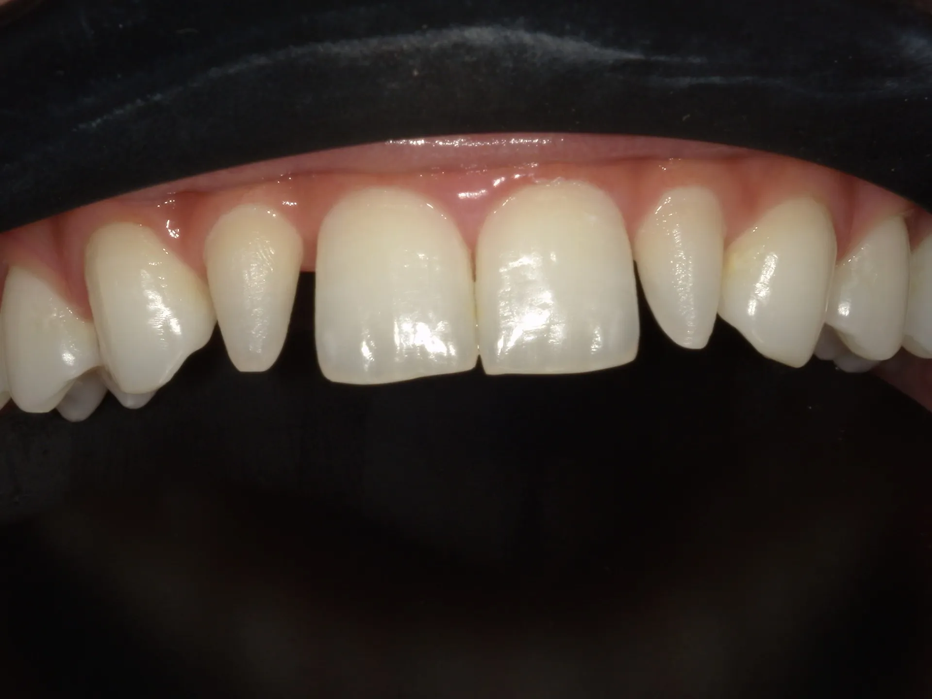
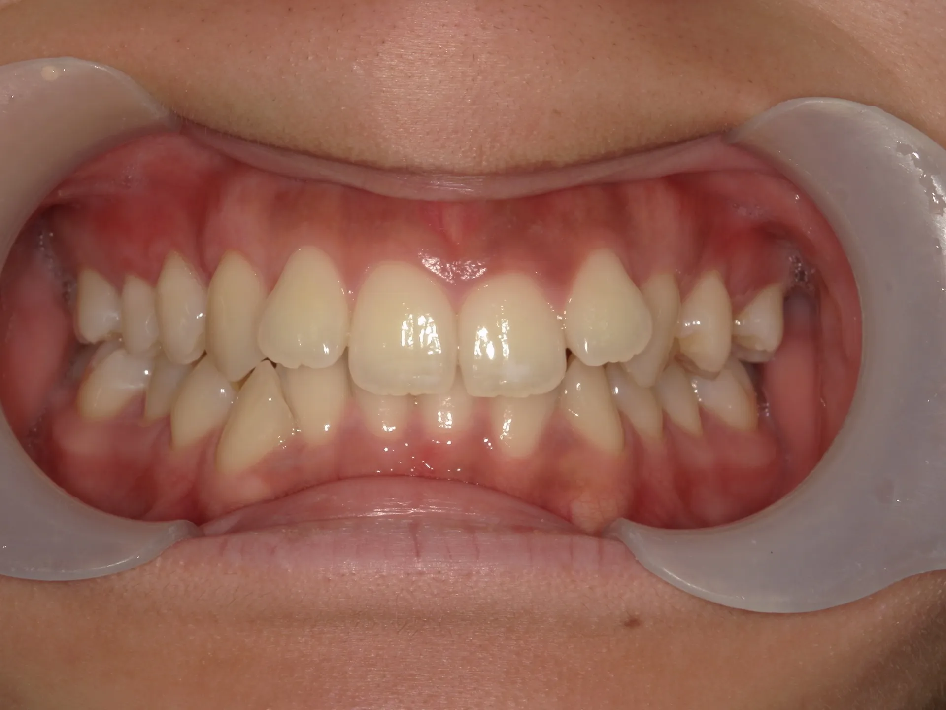
口内で発生した保険が適用されるトラブルの治療から口元の綺麗さを追求して行う審美歯科メニューまで幅広く取り扱っており、
各診療における料金表を掲載いたします。
治療を通して患者様の笑顔を実現
当院の特徴
患者様の気持ちに寄り添い、笑顔に自信を持っていただけるように最適な方法を考えてご提案しております。妙典周辺の歯医者として、見た目にも配慮しながら清潔な口内と美しい口元づくりをサポートいたします。
※木・日・祝日は休診
新患・急患の当日受付は営業時間内随時受け付けております(ご予約の方が優先となります)。
診療時間 | 月 | 火 | 水 | 木 | 金 | 土 | 日 |
|---|---|---|---|---|---|---|---|
10:00~13:00 | ● | ● | ● | × | ● | ▲ | × |
14:30~18:30 | ● | ● | ● | × | ● | ▲ | × |



